آخرین بهروزرسانی در 2025-08-31 توسط فاطمه نیازی
اسکن مغزی یکی از ابزارهای تشخیصی پیشرفته در پزشکی است که به پزشکان کمک میکند تا ساختار و عملکرد مغز را بهطور دقیق مشاهده کنند. با استفاده از این روش، میتوان اختلالات مغزی، آسیبها و نواحی سالم مغز را تشخیص داد. در این مقاله، با مشاهده ۵ نمونه عکس سی تی اسکن مغز ناسالم و سالم، با تفاوتهای مهم بین مغز سالم و آسیبدیده آشنا میشوید و اهمیت بررسی دقیق اسکن مغزی در تشخیص و درمان بیماریهای مغزی را درک خواهید کرد.
در صورتی که نیاز به انجام انواع اسکن مغزی دارید برای دریافت مشاوره می توانید با ما در مرکز تصویربرداری ویستان در تماس باشید : 02182802239
تعریف اسکن مغزی
اسکن مغزی یک روش تشخیصی پیشرفته است که با استفاده از فناوریهای تصویربرداری مانند سی تی اسکن (CT) و ام آر آی (MRI)، ساختار داخلی مغز را بهصورت دقیق نمایش میدهد. این تصاویر به پزشکان کمک میکنند تا اختلالات مغزی، آسیبها، تومورها، خونریزیها و نواحی سالم مغز را تشخیص دهند و برنامه درمانی مناسبی ارائه کنند.
با بررسی نتایج اسکن مغزی، امکان شناسایی زودهنگام بیماریها و پیشگیری از مشکلات جدیتر فراهم میشود، بنابراین این روش برای تشخیص دقیق و مدیریت بهینه سلامت مغز اهمیت بالایی دارد.
عکس سی تی اسکن مغز سالم
عکس سی تی اسکن مغز سالم نمایی دقیق از ساختار طبیعی مغز را نشان میدهد. در این تصاویر، نواحی سالم مغز، بافتها و رگهای خونی به وضوح قابل مشاهده هستند و هیچگونه ناهنجاری یا آسیب دیدهای دیده نمیشود. بررسی این نوع تصاویر به پزشکان کمک میکند تا تفاوت بین مغز سالم و آسیبدیده را بهتر درک کنند و هنگام تشخیص بیماریها، دقت بیشتری داشته باشند.
ویژگیهای عکس سی تی اسکن مغز سالم
| شماره | ویژگی | توضیح |
|---|---|---|
| 1 | ساختار طبیعی مغز | تمامی نواحی مغز به شکل طبیعی و بدون آسیب دیده مشاهده میشوند. |
| 2 | بافتهای سالم | بافت سفید و خاکستری مغز دارای تراکم طبیعی و یکپارچه است. |
| 3 | رگهای خونی سالم | هیچ نشانهای از انسداد، خونریزی یا تغییر شکل عروق دیده نمیشود. |
| 4 | نواحی فعال مغز | بخشهای مختلف مغز به شکل متقارن و سالم دیده میشوند. |
| 5 | عدم وجود تومور یا کیست | هیچ ضایعه غیرطبیعی در مغز مشاهده نمیشود. |
| 6 | شفافیت تصویر | تصویر واضح و دقیق است و جزئیات ساختاری به خوبی قابل تشخیص هستند. |
| 7 | شکل طبیعی بطنها | بطنهای مغز اندازه و شکل طبیعی دارند و بدون تغییر هستند. |
| 8 | عدم تورم یا التهاب | هیچ نشانهای از ورم، التهاب یا فشار داخلی مشاهده نمیشود. |
| 9 | مقایسه با مغز ناسالم | کمک میکند تا تفاوتها بین مغز سالم و مغز آسیبدیده مشخص شود. |
| 10 | پایهای برای تشخیص | به پزشکان اجازه میدهد تصاویر مغز ناسالم را دقیقتر تحلیل کنند. |

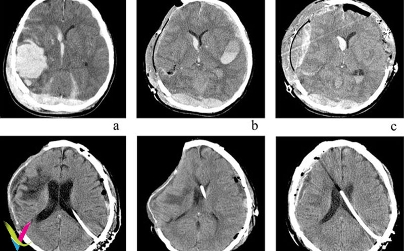
عکس سی تی اسکن مغز ناسالم
عکس سی تی اسکن مغز ناسالم میتواند نشانههای مختلفی از اختلالات و بیماریهای مغزی را نشان دهد، از جمله تومورها، خونریزیها، آسیبهای ناشی از سکته مغزی، یا ناهنجاریهای ساختمانی مغز. با مشاهده و تحلیل این تصاویر، پزشکان قادرند تشخیص دقیقتر و درمان مناسبتر برای بیماران ارائه دهند.
در این بخش، نمونههایی از سی تی اسکن مغز ناسالم همراه با توضیح دقیق درباره مناطق آسیبدیده و علائم بالینی مرتبط ارائه شده است تا خوانندگان و دانشجویان پزشکی بتوانند با دیدن تصویر و توضیح، بهتر با نشانههای بیماریهای مغزی آشنا شوند.

سی تی اسکن سر برای چیست و چرا انجام میشود؟
اسکن مغز کاربردهای گستردهای در تشخیص بیماریهایی مانند تومور مغزی، سکته، صرع، آلزایمر و پارکینسون دارد و یکی از مهمترین ابزارهای تشخیص در علم پزشکی مغز و اعصاب بهشمار میرود. در حالت کلی، سی تی اسکن سر، زمانی انجام میشود که پزشک بخواهد وضعیت مغز را بررسی کند و مشکل خاصی را تشخیص دهد. گاهی علائمی مانند سردرد شدید، سرگیجه، تشنج، یا مشکلات حافظه ممکن است نشانهای از یک بیماری در مغز باشند. در این مواقع، اسکن مغز میتواند اطلاعات دقیقی درباره ساختار یا عملکرد مغز بدهد.
مهمترین دلایلی که برای انجام سی تی اسکن مغزی وجود دارد عبارتند از:
– بررسی آسیبهای مغزی بعد از تصادف یا ضربه به سر
– تشخیص تومور یا رشد غیرعادی در مغز
– شناسایی علل تشنج یا صرع
– بررسی سکته مغزی یا انسداد رگهای مغز
– تشخیص بیماریهای عصبی مثل آلزایمر یا پارکینسون
– راهنمایی برای جراحیهای مغزی یا درمان با دارو
به کمک اسکن از مغز، پزشکان میتوانند سریعتر تصمیم بگیرند که چه نوع درمانی برای بیمار مناسب است. در واقع سی تی اسکن مغزی، فرآیند تشخیص بیماری و نوع درمان را تسهیل میکند و به پزشکان در تصمیم گیریهای آگاهانه کمک بزرگی میکند.
بیشتر بخوانید: اسکن اسپکت مغز-اسکن مغز با پزشکی هسته ای در مرکز ویستان 1404
انواع روشهای اسکن مغز
برای بررسی مغز، چند نوع اسکن وجود دارد که هرکدام از آنها با فناوری خاصی کار میکنند. پزشک با توجه به علائم بیمار و هدف بررسی، یکی از این روشها را انتخاب میکند. در ادامه، مهمترین روشهای اسکن مغزی را معرفی میکنیم:
- ام آر آی مغز MRI (تصویربرداری با تشدید مغناطیسی)
MRI یکی از دقیقترین روشهای اسکن مغز است. در این روش از میدان مغناطیسی قوی و امواج رادیویی برای گرفتن تصاویر با کیفیت بالا از بافتهای مغزی استفاده میشود. ام آر آی، بدون درد و بدون اشعه انجام میگیرد و مناسب برای بررسی تومورها، التهابها، سکته و مشکلات ساختاری مغز میباشد که حدودا در تایم ۳۰ تا ۶۰ دقیقه انجام میگیرد.
- سی تی اسکن مغز CT Scan
CT scan با استفاده از اشعه ایکس، تصاویر مقطعی از مغز میگیرد. این روش سریع و مناسب برای شرایط اضطراری است. سی تی اسکن مغز، مناسب برای بررسی خونریزی مغزی، شکستگی جمجمه و سکته میباشد که حدودا در زمان ۵ تا ۱۰ دقیقه انجام میگیرد و گاهی ممکن است نیاز به تزریق ماده رنگی (کنتراست) داشته باشد.
- پت اسکن مغز PET Scan
در PET scan از یک ماده رادیواکتیو کمخطر استفاده میشود تا فعالیتهای مغزی اندازهگیری شود. این روش برای بررسی عملکرد مغز مفید است. پت اسکن مغز مناسب برای تشخیص آلزایمر، تومورها، یا بررسی فعالیت مغزی در صرع میباشد و بیشتر در پژوهشها و موارد خاص کاربرد دارد. زمان انجام این روش حدود ۳۰ تا ۹۰ دقیقه است.
- نوار مغزیEEG
نوار مغزی EEG فعالیت الکتریکی مغز را ثبت میکند. در این روش، الکترودهایی روی سر قرار میگیرد که امواج مغزی را اندازهگیری میکنند. این روش کاملا بدون درد و بدون اشعه انجام میگیرد و مناسب برای تشخیص صرع، تشنج و اختلالات خواب میباشد. زمان انجام نوار مغزی حدودا بین ۲۰ تا ۴۵ دقیقه است.

نحوه انجام سی تی اسکن مغزی
سی تی اسکن مغز (Brain CT Scan)یک روش تصویربرداری پزشکی است که با استفاده از اشعه ایکس (X-ray) و کامپیوتر، تصاویر مقطعی (برشهایی) از مغز تهیه میکند. انجام سی تی اسکن طی مراحلی ساده انجام میگیرید و هیچگونه ترسی برای افراد ندارد.

مراحل انجام سی تی اسکن مغز
آمادگی اولیه: معمولاً نیاز به آمادگی خاصی نیست. فقط کافی است بیمار زیورآلات (مثل گوشواره، گردنبند، سنجاق) یا وسایل فلزی خود را درآورد. و اینکه اگر قرار باشد سیتی اسکن با تزریق ماده حاجب انجام شود (برای بهتر دیدن رگها یا بعضی ضایعات)، ممکن است نیاز باشد ناشتا باشید یا درباره حساسیت به ید/ماده حاجب سوال کنند.
ورود به اتاق سیتی اسکن: بیمار وارد اتاق مخصوصی میشود که دستگاه سیتی اسکن آنجا قرار دارد. دستگاه شبیه یک حلقه بزرگ یا دونات (donut) است.
قرار گرفتن روی تخت دستگاه: بیمار روی یک تخت باریک دراز میکشد. معمولاً باید به پشت بخوابد و سرش کاملاً ثابت باشد. ممکن است وسیلهای مثل بالش یا گیره کوچک کنار سر بیمار گذاشته شود که حرکت نکند.
شروع اسکن: تخت به آرامی به داخل دستگاه حرکت میکند. در این لحظه دستگاه شروع به گرفتن عکسهای مقطعی از مغز میکند. بیمار باید کاملاً بیحرکت بماند. گاهی لازم است چند ثانیه نفس خود را نگه دارید (اپراتور از طریق بلندگو به شما میگوید)
در صورت نیاز به تزریق ماده حاجب: اگر تصویربرداری با کنتراست باشد، مادهای مخصوص به داخل رگ (معمولاً بازوی شما) تزریق میشود. ممکن است حس گرما یا طعم فلزی در دهان حس کنید که طبیعی است.
اتمام اسکن: بعد از چند دقیقه (معمولاً 5 تا 15 دقیقه) اسکن کامل میشود. تخت عقب میرود، بیمار میتواند بلند شود و از اتاق خارج شود، مگر اینکه پزشک توصیه خاصی داشته باشد.
این تصویر نمونهای از سی تی اسکن مغز ناسالم است که نواحی آسیبدیده یا ناهنجاریهای مغزی را نشان میدهد. تحلیل دقیق این تصاویر به تشخیص اختلالاتی مانند تومور، خونریزی یا سکته مغزی کمک میکند و پزشکان با استفاده از آن میتوانند درمان مناسب را تعیین کنند.
خطرات و عوارض سی تی اسکن مغز
ممکن است برای بیشتر افراد این سوال پیش بیاید که آیا اسکن مغز خطر دارد؟ در جواب این سوال باید گفت که برای اکثر افراد، سی تی اسکن مغز بیخطر است و پزشکان همیشه بین “فایده تشخیص درست” و “ریسک احتمالی” تصمیم میگیرند که انجام اسکن مغزی لازم است یا نه. با این حال برخی از خطرات سی تی اسکن مغز عبارت اند از:
قرار گرفتن در معرض اشعه ایکس: سی تی اسکن از اشعه ایکس استفاده میکند، که نوعی تشعشع یونیزهکننده است. مقدار اشعه در اسکن مغز نسبت به عکس ساده بیشتر است، اما معمولاً در حدی نیست که برای یک فرد بالغ سالم خطر جدی ایجاد کند.
بارداری: در بارداری خطر آسیب به جنین وجود دارد، بنابراین معمولاً برای زنان باردار سی تی اسکن توصیه نمیشود مگر در شرایط اضطراری.
عوارض ناشی از ماده حاجب: اهی برای بهتر دیدن عروق یا ضایعات مغزی، ماده حاجب (که معمولاً بر پایه ید است) تزریق میشود. ممکن است این ماده برای برخی افراد حساسیت یا آلرژی داشته باشد و باعث ایجاد خارش، کهیر، تنگی نفس، تورم لبها یا صورت گردد.
آسیب به کلیهها: در افرادی که مشکل کلیوی دارند، ماده حاجب میتواند باعث بدتر شدن عملکرد کلیه شود.
احساس ناراحتی یا اضطراب: بعضی افراد ممکن است هنگام قرار گرفتن در دستگاه احساس ترس یا اضطراب کنند. (بخصوص کسانی که دچار “کلاستروفوبیا” یا ترس از فضاهای بسته هستند)، البته چون سی تی اسکن مغز سریع انجام میشود و دستگاه باز است، این مشکل خیلی شایع نیست.
عوارض خاص در شرایط ویژه: در افرادی که مشکلات جدی قلبی دارند (مثل بیماری قلبی شدید یا آلرژی به ید)، فرآیند سی تی اسکن با احتیاط بیشتری انجام میشود.
بیشتر بخوانید: هزینه اسکن هسته ای مغز با دفترچه تامین اجتماعی و بیمه تکمیلی
فرق سی تی اسکن مغز و ام آر آی مغز چیست؟
تفاوت سی تی اسکن مغز و ام آر آی مغز در برخی ویژگیهای مهم میباشد که به ترتیب عبارت اند از:
تکنولوژی استفاده شده:
- سی تی اسکن با اشعه ایکس کار میکند اما ام آر آی با میدان مغناطیسی قوی و امواج رادیویی کار میکند (بدون اشعه)
زمان انجام:
- سی تی اسکن خیلی سریع انجام میشود (حدود ۵ تا ۱۵ دقیقه) اما ام آر آی زمان بیشتری میبرد (حدود ۳۰ تا ۶۰ دقیقه یا بیشتر)
جزئیات تصویری:
- سی تی اسکن برای دیدن استخوانها، خونریزیهای مغزی و ضربههای شدید مناسبتر است اما ام آر آی برای دیدن بافتهای نرم مغز، تومورها، التهابها و سکتههای کوچک خیلی بهتر است.
استفاده از اشعه:
- سی تی اسکن از اشعه ایکس استفاده میکند، بنابراین در بارداری باید با احتیاط انجام شود. اما م آرآی هیچ اشعهای ندارد و از این نظر ایمنتر است.
نیاز به ماده حاجب: - در سی تی، گاهی از ماده حاجب بر پایه ید استفاده میشود اما در ام آر آی، گاهی ماده حاجب به نام گادولینیوم تزریق میشود که معمولاً عوارض کمتری دارد.
شرایط اورژانسی:
- سی تی اسکن به دلیل سرعت بالایش، در موارد اورژانسی مثل تصادف یا سکته حاد بیشتر استفاده میشود. ام آر آی چون زمان بیشتری لازم دارد، کمتر برای اورژانسهای فوری به کار میرود.
- محدودیتها:
سی تی اسکن به دلیل داشتن اشعه در کودکان و زنان باردار کمتر توصیه میشود، و ام آر آی برای افرادی که وسایل فلزی داخل بدن دارند (مثل ضربانساز قلب یا پیچ و پلاک فلزی) مناسب نیست. - هزینه:
سی تی اسکن معمولاً ارزانتر از ام آر آی است.

تفسیر جواب سی تی اسکن مغز چگونه است؟
در تفسیر جواب سی تی اسکن به بررسی ساختارهای طبیعی، خونریزی، وجود تورم یا ادم مغزی، وجود سکته مغزی، وجود تومور یا ضایعه، بررسی شکستگیهای استخوان جمجمه و بررسی مایع مغزی (CSF)پرداخته میشود. یعنی پزشک (معمولاً متخصص رادیولوژی) تصاویر گرفته شده را دقیق بررسی میکند و دنبال علائمی از بیماری، آسیب یا مشکل میگردد، بعد آن را به شکل یک گزارش کتبی خلاصه میکند و برای پزشک معالج میفرستد.
جواب سی تی اسکن مغز چقدر طول میکشد؟
زمان آماده شدن جواب سیتی اسکن مغز در حالت عادی بین چند ساعت تا ۲۴ ساعت طول میکشد، مادر حالت اوژانسی میتواند خیلی سریع آماده شود، حتی در ۳۰ دقیقه تا ۱ ساعت، چون تشخیص فوری لازم است.
برای اسکن مغز و بهره برداری از بهترین و مجهزترین دستگاههای اسکن مغزی و ام آر آی میتوانید به کلینیک تخصصی ویستان مراجعه کنید و برای رزو وقت با این شماره ها تماس بگیرید. 02144387785 _ 02144927197 _ 02144220936




